Colles' Fracture

Definition

This type of fracture is often described as being an extra-articular transverse fracture of the distal radius with dorsal displacement with/without ulnar styloid fracture. The fracture is usually around 2cm proximal to the radiocarpal joint.

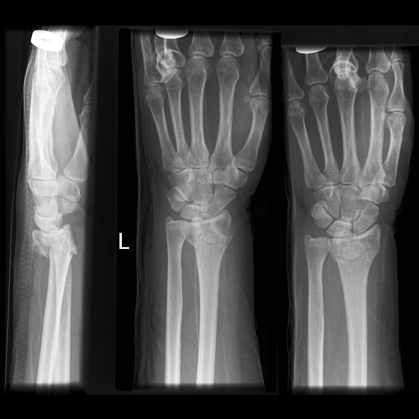
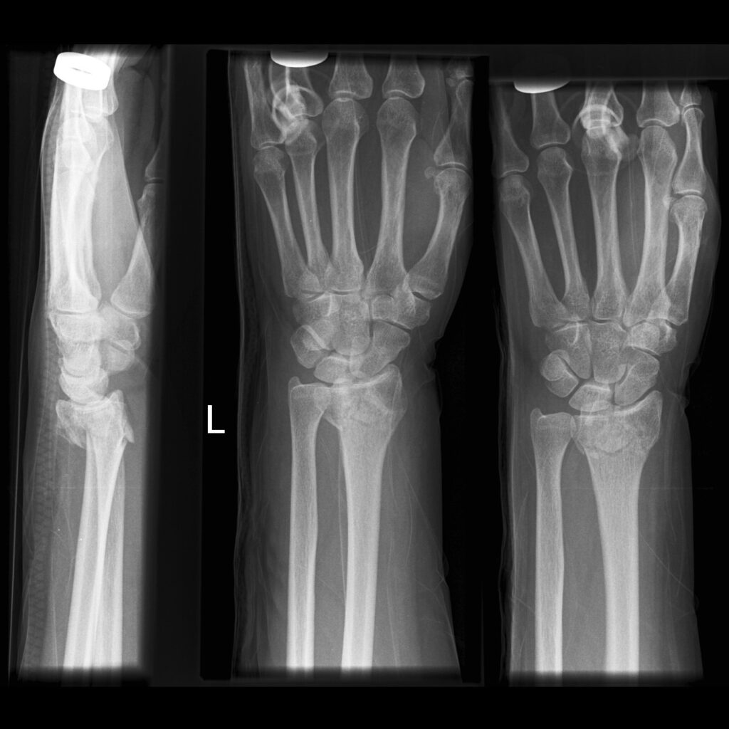
Case courtesy of Dr Maciej Debowski, Radiopaedia.org. From the case rID: 66146
Case courtesy of Dr Maciej Debowski, Radiopaedia.org. From the case rID: 66146

Basics

This fracture commonly occurs in patients which have osteoporotic bones (age > 40 years old). The main mechanism of injury is falling on an outstretched hand (FOOSH).

Presentation

  1. Dinner Fork Deformity
  2. Swelling, Ecchymosis, Tenderness
  3. Painful range of motion (ROM)

Investigations

Apart from basic investigations, we focus on the radiographic investigations.

  1. X-Ray: AP and Later x-rays of the wrist. Oblique views of the wrist may also be beneficial. The radiological features include:
    1. Dorsal tilt of the distal fragment
    2. Dorsal displacement of the distal fragment
    3. Ulnar styloid fracture
    4. Radial shortening
    5. Radial tilt
    6. Radial displacement
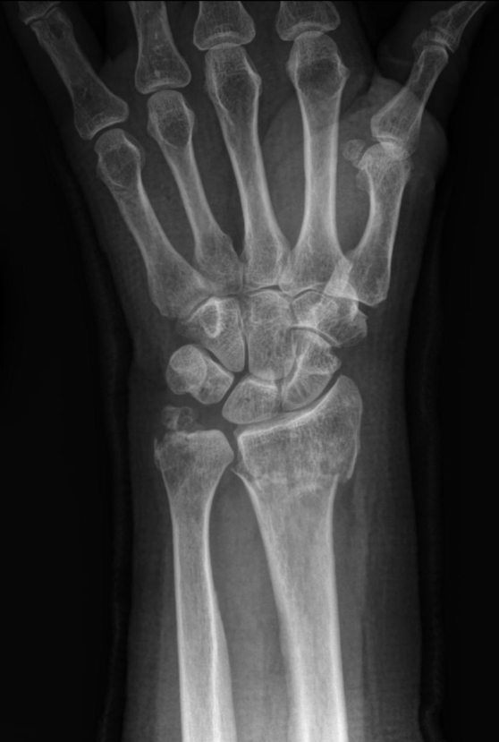
  2. Look for other associated injuries
    1. Widening of the scapholunate interval, this suggests a scapholunate injury (Terry Thomas sign).
    2. Interruption of Gilula’s line, this suggests carpal instability
Case courtesy of Dr MT. Niknejad, Radiopaedia.org. From the case rID: 87136

Management

  1. Non-Surgical
    1. Procedure: Closed reduction with a haematoma block or conscious sedation. For the closed reduction, you should apply traction with hyperextension of the distal fragment (exaggerates the injury), then traction with ulnar deviation. Pronate then flex the distal fragment.
    2. After closed reduction, apply a dorsal slab (because of too much swelling) or a below elbow cast for 6 weeks. The wrist should be maintained in a slight flexion position.
    3. Get post reduction x-rays immediately and review, repeat the reduction if it is necessary to do so. Features that suggest failed closed reduction:
      1. Radial Shortening > 3 mm post reduction or
      2. Dorsal tilt > 10 deg or
      3. Intra-articular displacement > 2mm
      4. NB: These patients will benefit from ORIF
    4. If a dorsal slab was used, these patients should be reviewed after 1 week in order to assess that the reduction has been maintained and this slab is changed to a circular cast. The patient is then reviewed after 6 weeks and the cast is removed.
  1. Surgical
    • Indication:
      1. Displaced intra-articular fracture
      2. Comminuted fracture
      3. Severe osteoporosis
      4. Dorsal angulation > 5 deg or volar tilt > 20 deg
      5. >5mm radial shortening
      6. Failed closed reduction
      7. Loss of reduction after a
    • Methods:
      • Percutaneous pinning, Open Reduction and Internal Fixation (ORIF with dorsal or volar plating) or external fixation.

Complications

  • Early Complications: Difficult reduction, loss of reduction, compartment syndrome, tendon rupture (EPL), acute carpal tunnel syndrome, complications of having a tight casts.
  • Late Complications: Malunion, Radial shortening, Shoulder-Hand Syndrome, Complex Regional Pain Syndrome (CRPS), Post-traumatic arthritis, Carpal tunnel syndrome.
Case courtesy of Assoc Prof Frank Gaillard, Radiopaedia.org. From the case rID: 12382

Important Image

Some Text

Articles

Made with ❤️ by QuickBeat

We are a small education agency that aims to provide medical education. 

CONTACT

Copyright © 2022 Quickbeat​. All Rights Reserved.